

병동에서 근무하다 보면 생각보다 많은 심부전 환자들을 만나게 됩니다. 심부전은 단순히 심장이 약해졌다는 의미가 아니라 심장이 몸에 필요한 만큼의 혈액을 충분히 공급하지 못하는 상태를 의미합니다.
그래서 심부전 환자들은 다양한 증상을 보이게 됩니다. 숨이 차거나 다리가 붓는 부종이 나타나기도 하고 갑자기 체중이 증가하기도 합니다. 특히 폐부종이 발생한 환자들은 심한 호흡곤란으로 산소 치료가 필요한 경우도 많습니다.
병동에서 환자를 보다 보면 의료진이 특히 중요하게 확인하는 것이 있습니다. 바로 체중 변화, 부종 상태, 수분 섭취량입니다. 이러한 변화는 환자의 상태 악화를 가장 먼저 알려주는 신호가 되기 때문입니다.
심부전 환자에게 체중 측정이 중요한 이유
심부전 환자에게 체중 증가는 단순히 체지방 증가가 아니라 대부분 체액이 축적되었다는 신호일 가능성이 높습니다.
심장이 혈액을 충분히 펌프하지 못하면 혈액이 정체되고 결국 체내에 수분이 축적됩니다. 이 과정에서 체중이 빠르게 증가할 수 있습니다. 그래서 심부전 환자 관리에서는 매일 같은 시간에 체중을 측정하는 것이 중요합니다.
- 하루 1kg 이상 체중 증가
- 3일 동안 2kg 이상 증가
이러한 경우 체액 축적을 의심하고 의료진에게 알리는 것이 필요합니다.
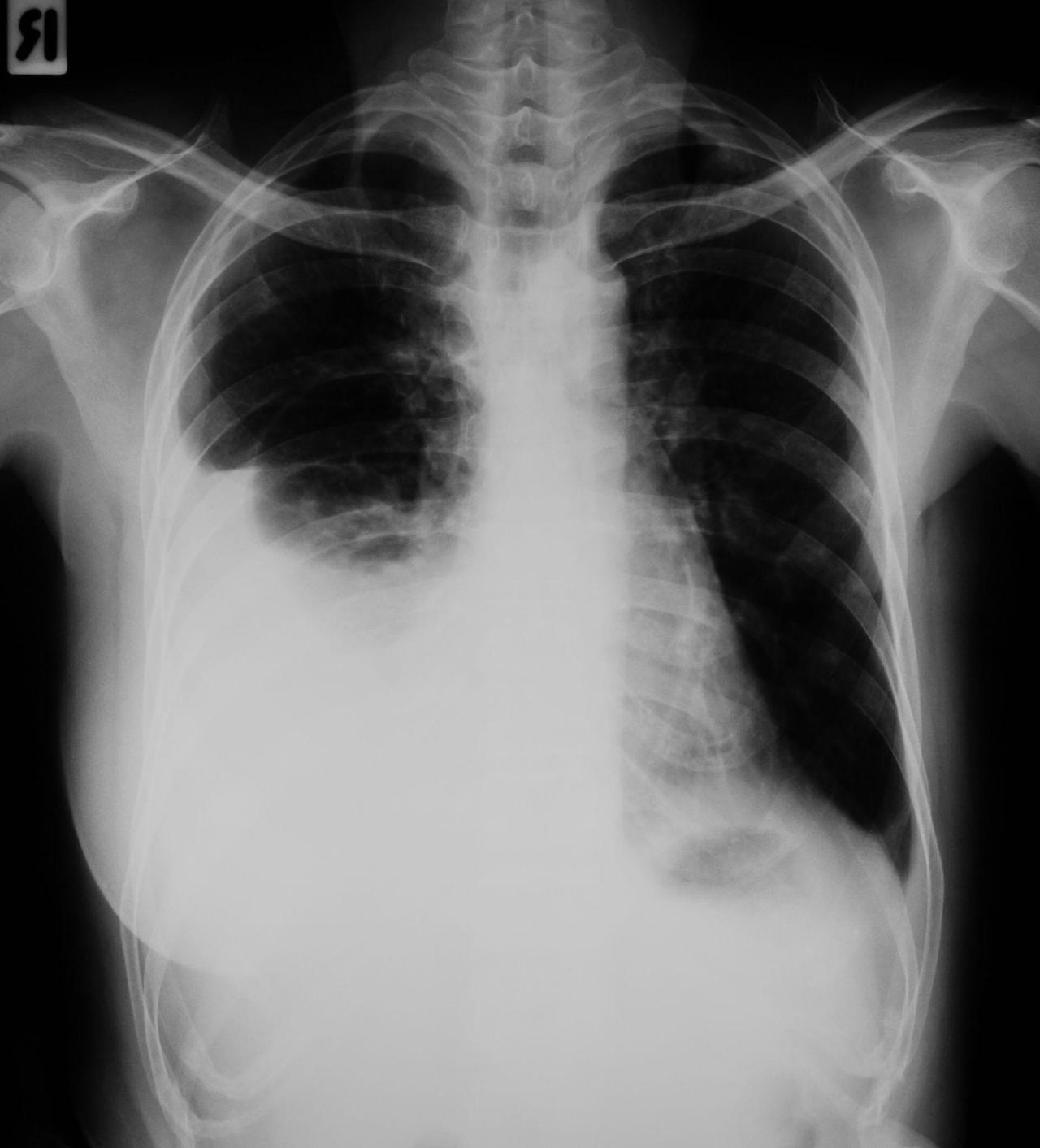
폐부종과 심부전의 관계
심부전 환자에서 흔히 발생하는 합병증 중 하나가 바로 폐부종입니다.
심장이 혈액을 제대로 내보내지 못하면 혈액이 폐로 역류하게 되고 폐 안에 체액이 축적되면서 폐부종이 발생하게 됩니다.
- 심한 호흡곤란
- 누워 있을 때 숨이 더 차는 증상
- 거품 섞인 가래
- 산소포화도 감소
이러한 환자들은 병동에서도 산소 치료를 적용하고 이뇨제를 사용하여 체내 수분을 제거하는 치료를 진행합니다.
심부전 환자가 밤에 숨이 더 차는 이유 (Orthopnea / PND)
심부전 환자들은 낮보다 밤에 숨이 더 차다고 이야기하는 경우가 많습니다. 특히 누우면 숨이 차서 베개를 여러 개 베고 자는 환자들도 있습니다. 이러한 증상을 Orthopnea라고 합니다.
또한 잠을 자다가 갑자기 숨이 차서 깨어나는 경우도 있는데 이를 PND(Paroxysmal Nocturnal Dyspnea)라고 합니다.
이러한 현상이 발생하는 이유는 누웠을 때 다리 쪽에 있던 체액이 혈액순환으로 돌아와 폐에 부담을 주기 때문입니다.
심부전 환자에게 수분 제한이 필요한 이유
심부전 환자에게 수분 제한을 하는 이유는 체내 수분 축적을 막기 위해서입니다.
심장이 약해지면 체액을 순환시키는 능력이 떨어지고 결국 폐부종이나 말초 부종이 발생할 수 있습니다.
- 하루 1000ml 제한
- 하루 500ml 제한
- 심한 경우 200ml 제한
실제로 병동에서도 폐부종이 심한 환자에게 하루 수분 섭취를 200ml 정도로 제한하는 경우를 볼 수 있습니다.
심부전 환자에게 소금 제한이 중요한 이유
소금에는 나트륨이 많이 포함되어 있습니다. 나트륨은 체내에서 수분을 끌어들이는 성질이 있습니다.
그래서 나트륨 섭취가 많아지면 체내 수분이 증가하고 부종이나 폐부종이 악화될 수 있습니다.
심부전 환자에게는 보통 하루 나트륨 섭취량을 2g 이하로 제한하는 식단이 권장됩니다.
심부전 진단에 사용하는 BNP 검사
심부전을 평가할 때 중요한 혈액 검사 중 하나가 바로 BNP입니다.
| BNP 수치 | 해석 |
|---|---|
| 100 이하 | 심부전 가능성 낮음 |
| 100~400 | 심부전 가능성 있음 |
| 400 이상 | 심부전 가능성 높음 |
BNP와 NT-proBNP 차이
| 구분 | BNP | NT-proBNP |
|---|---|---|
| 특징 | 활성 호르몬 | 전구체 단백질 |
| 반감기 | 짧음 | 더 김 |
| 임상 활용 | 심부전 진단 | 진단 및 경과 관찰 |
부종 단계 평가
| 단계 | 설명 |
|---|---|
| 1+ | 약간 들어감 |
| 2+ | 약 4mm 정도 들어감 |
| 3+ | 6mm 정도 깊게 들어감 |
| 4+ | 8mm 이상 깊게 들어감 |

심부전 환자에서 사용하는 이뇨제
- Furosemide (Lasix)
- Torasemide
- Spironolactone
병동에서도 환자의 부종 상태나 호흡곤란 정도에 따라 이뇨제를 증량하거나 조절하는 경우를 자주 볼 수 있습니다.
폐부종 응급 상황에서 사용하는 치료
폐부종이 심해지면 응급 치료가 필요합니다.
- Lasix (이뇨제)
- Oxygen (산소 치료)
- Morphine (호흡곤란 완화)
이러한 치료는 폐에 축적된 수분을 줄이고 호흡을 안정시키는 데 도움을 줍니다.
심부전 환자에서 간호사가 중요하게 보는 바이탈 변화
심부전 환자를 간호할 때는 다음과 같은 변화들을 주의 깊게 관찰합니다.
- 체중 증가
- 호흡수 증가
- 산소포화도 감소
- 부종 악화
- 소변량 감소
이러한 변화들은 심부전 악화를 알려주는 중요한 신호가 될 수 있습니다.
마무리
심부전은 단순히 심장의 문제만이 아니라 체내 수분 균형과 깊이 관련된 질환입니다.
그래서 심부전 환자 관리에서는 체중 변화, 부종 상태, 수분 섭취량을 꾸준히 확인하는 것이 매우 중요합니다. 작은 체중 변화 하나가 환자의 상태 악화를 알려주는 중요한 신호가 될 수도 있기 때문입니다.
심부전 환자는 꾸준한 관리와 생활습관 조절을 통해 질환의 진행을 늦추고 삶의 질을 유지할 수 있습니다.